Description
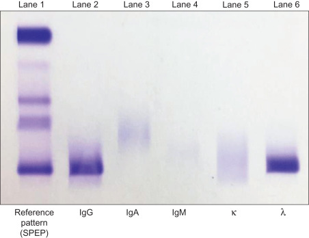
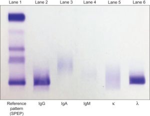
Immunofixation electrophoresis (IFE) is a laboratory technique used to identify and quantify specific proteins, particularly immunoglobulins (antibodies), in a serum or other bodily fluid sample. It is commonly used in the diagnosis and monitoring of various conditions, including monoclonal gammopathies such as multiple myeloma, Waldenström macroglobulinemia, and other related disorders.
The process of immunofixation electrophoresis involves several steps:
- Electrophoresis: The serum sample is first separated into its constituent proteins based on their size and charge using electrophoresis, which involves applying an electric field to the sample. This causes the proteins to migrate through a gel matrix at different rates, depending on their molecular weight and charge.
- Immunofixation: After electrophoresis, the separated proteins are transferred onto a membrane or gel support. The membrane is then incubated with specific antibodies that bind to different types of immunoglobulins (e.g., IgG, IgA, IgM) or light chain types (kappa or lambda). This results in the formation of visible bands or lines corresponding to the different immunoglobulins present in the sample.
- Visualization: The bound antibodies are visualized using various detection methods, such as staining or immunostaining, to produce a pattern of bands or lines on the membrane. These bands represent the different immunoglobulins present in the sample and their respective light chain types.
Interpretation of the immunofixation electrophoresis results involves identifying the presence and pattern of monoclonal (abnormal) bands, which indicate the presence of a monoclonal gammopathy. Monoclonal gammopathies are characterized by the abnormal proliferation of a single clone of plasma cells, resulting in the overproduction of a specific immunoglobulin or its fragments.
IFE is a highly sensitive and specific method for detecting and characterizing monoclonal gammopathies, allowing for accurate diagnosis, classification, and monitoring of these conditions. It is often used in conjunction with other laboratory tests, clinical findings, and imaging studies to guide patient management and treatment decisions.


Reviews
There are no reviews yet.